clinique
dentaire bellafqih

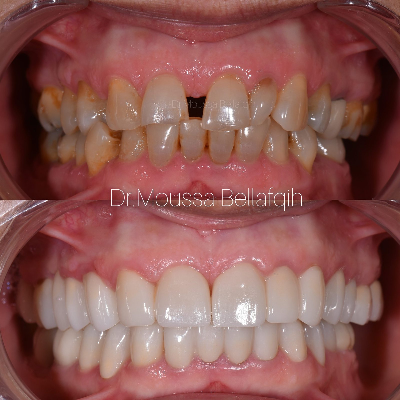
Restaurer la force, la fonction et la beauté des dents abîmées

Les couronnes dentaires

Vous rêvez d'un sourire plus éclatant et plus confiant ? Souhaitez-vous avoir des dents parfaitement alignées et de belle forme ?

Qu'est-ce qu'une couronne dentaire ?


Une couronne dentaire est une couverture en forme de dent placée sur une dent endommagée ou affaiblie. Elle recouvre complètement la dent au-dessus de la ligne gingivale et lui redonne sa forme, sa taille, sa solidité et son apparence.

Restaurer la force, la fonction et la beauté des dents abîmées

Une dent abîmée n’est pas forcément une dent perdue. nous proposons des couronnes dentaires sur mesure pour réparer, protéger et restaurer les dents fissurées, cassées, gravement cariées ou usées. Conçues pour s’intégrer parfaitement à votre sourire naturel, nos couronnes sont à la fois résistantes et esthétiques et donnent une seconde chance à votre dent.

Pourquoi avez-vous besoin d'une couronne ?

✅ Une grande cavité trop importante pour une obturation

✅ Une dent fissurée ou cassée

✅ Une dent usée ou érodée

✅ Après un traitement de canal

✅ Pour soutenir un pont dentaire

✅ Pour restaurer un implant dentaire

✅ Amélioration esthétique d’une dent difforme ou décolorée

Types de couronnes que nous proposons :

 Couronnes en porcelaine : Très esthétiques et idéales pour les dents de devant

Couronnes en zircone : Extrêmement résistantes et d’aspect naturel

Avantages des couronnes dentaires

Protège une dent faible ou fissurée contre d’autres dommages

Amélioration de l’apparence et de l’alignement

Solution durable (10 à 15 ans ou plus avec des soins appropriés)

S’harmonise avec la couleur de vos dents naturelles

Des changements de sourire qui changent la vie

Vous pensez que personne ne le remarquera ? Bien – ils ne devraient pas.
Les couronnes modernes sont invisibles à l’œil non averti.
Nous ne nous contentons pas de réparer la dent, nous lui donnons la teinte, la forme, la brillance et le caractère de votre sourire naturel.

Situations réelles où les couronnes font la différence

Combien de temps dure le traitement de facettes du début à la fin ?

En général, le processus prend 2 à 3 visites sur quelques semaines.

Absolument ! Les facettes modernes sont conçues pour imiter parfaitement la réflexion de la lumière, la translucidité et la couleur des dents naturelles.

Les facettes en porcelaine sont très résistantes aux taches grâce à leur surface lisse, semblable à celle du verre. Les facettes en composite, bien que plus abordables, sont plus susceptibles d’être tachées par le café, le thé ou le tabac et peuvent nécessiter un polissage ou un remplacement occasionnel.

Oui. Les facettes peuvent en fait protéger les dents sensibles en recouvrant l’émail exposé. Toutefois, votre dentiste évaluera votre santé bucco-dentaire pour s’assurer que les facettes sont adaptées à votre situation.

Vous vous êtes cassé une dent sur quelque chose de dur – maintenant, chaque morsure vous fait ressentir une secousse. Une couronne peut arrêter la douleur et sauver la dent.

Vous avez subi un traitement de canal – l’infection a disparu, mais la dent est maintenant fragile. Une couronne la renforcera.

Vous évitez de sourire sur les photos – une dent est plus foncée, plus petite ou usée. Une couronne peut rétablir la symétrie et la confiance.

Vous grincez des dents la nuit – vos molaires sont aplaties ou ébréchées. Une couronne reconstruit ce qui a été perdu.

FAQs

Combien de temps dure le traitement de facettes du début à la fin ?

En général, le processus prend 2 à 3 visites sur quelques semaines.

Absolument ! Les facettes modernes sont conçues pour imiter parfaitement la réflexion de la lumière, la translucidité et la couleur des dents naturelles.

Les facettes en porcelaine sont très résistantes aux taches grâce à leur surface lisse, semblable à celle du verre. Les facettes en composite, bien que plus abordables, sont plus susceptibles d’être tachées par le café, le thé ou le tabac et peuvent nécessiter un polissage ou un remplacement occasionnel.

Oui. Les facettes peuvent en fait protéger les dents sensibles en recouvrant l’émail exposé. Toutefois, votre dentiste évaluera votre santé bucco-dentaire pour s’assurer que les facettes sont adaptées à votre situation.

Nos Spécialités

● Bilan dentaire esthétique (Mockup et Wax up)
● Réhabilitation dentaire partielle ou totale par facettes céramiques (Emax, facette feldspathique)
● Réhabilitation esthétique directe par facette au composite
● Réhabilitation dentaire totale par couronnes céramiques
● Onlay, Veneerlay, overlay, table top
● Correction du sourire gingival (laser)
● Remodelage du sourire
● Blanchiment dentaire externe (fauteuil, gouttières)
● Blanchiment interne (dents dévitalisées)

● Bilan, Préimplantaire
● Pose d’implants dentaires
● Extraction et implantation immédiate
● All on 4/ All on 6
● Greffe osseuse pré implantaire
● Sinus lift (comblement des sinus maxillaires)

● Prothèse Fixée:
-Couronnes
-Bridges céramiques et ou Emax
-Bridges collés

● Prothèse amovible:
– Stellite
– Prothèse partielle et Adjonction de dent
– Prothèse totale
– Rebasage immédiat ou différé des prothèses adjointes totales (PAT)

● Appareillage fixe ( brackets métalliques ou céramiques )
● Orthodontie interceptive pour enfants
● Orthodontie adulte
● Orthodontie pré et post-chirurgicale
● Aligneurs transparents ( invisiligne )
● Contention orthodontique
● Traitement orthodontique stabilisateur après traitement orthopédique des Luxations Discales Réductibles

● Traitement des LDR (Luxations Discales Réductibles) par gouttières
● Traitement du bruxisme par gouttières de libération
● Analyse occlusale et équilibrations occlusales
● Arc facial

● Extraction dentaire simple
● Extraction dentaire complexe
● Extraction des dents enclavées
● Extraction des dents incluses
● Extraction des dents de sagesse
● Extraction des racines résiduelles
● Résection apicale ou Apicectomie
● Alvéolectomie
● Amputation Radiculaire
● Incision d’abcès
● Gestion des Abcès ou Fistules d’origine Pulpaire
● Régularisation de Crête Osseuse
● Traitement des Traumatismes Dentaires

● Obturation Dentaire au Composite
● Composite Antérieur
● Composite Postérieur
● Traitement des Traumatismes Dentaires.
● Traitement Canalaire
● Reprise des Traitements Canalaires

● Bilan parodontal
● Curetage parodontale
● Gingivectomie et gingivoplastie (Chirurgie et Laser)
● Elongation coronaire
● Contention fixe parodontale
● Détartrage et surfaçage radiculaire
● Débridement
● Lambeau d’assainissement
● Greffes gingivales
● Dépigmentation Gingivale
● Air Flow (Maintenance péri-implantaire)

● Radio Panoramique Dentaire
● Téléradiographie de Face et de Profile
● RVG (Radiovisiographie)
● Cône beam ou Scanner Dentascan

● Soins des Dents de lait
● Extraction des Dents de lait
● Gouttières Fluorées
● Extractions Pilotées
● Mainteneur d’espace
● Traitement des Traumatismes Dentaires
● Réimplantation Dentaire Immédiate
● Endodontie Pédiatrique (Pulpectomie, Pulpotomie)

L'excellence dans chaque sourire

Monday
9:00 AM - 5:00 PM
Tuesday
9:00 AM - 5:00 PM
Wednesday
9:00 AM - 5:00 PM
Thursday
9:00 AM - 5:00 PM
Friday
9:00 AM - 5:00 PM
Saturday
9:00 AM - 1:00 PM

© 2025 Dr. Moussa Bellafqih. all rights reserved. privacy policy. accessibility

Scroll to Top